| 咬合崩壊 |
| |
【正常な咬合関係】 |
| |
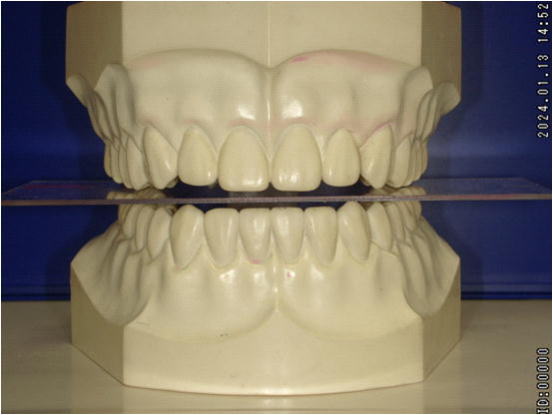
正常な噛み合わせは、正中が合っており、左右ほぼ対称です。
前後の噛み合わせも平面的であるため、ズレることなくしっかり咬むことが出来るわけです。 |
| |
 |
| |
 |
| |
【咬合崩壊】
自己管理の不足、予防知識の不足、そもそも概念の欠如など、咬合関係は1本の虫歯から崩れていきます。
また自己管理には限界があり、プロフェッショナルケアによる定期的管理が必要なこと が認識されないことが咬合崩壊の危険度を高めていきます。 |
| |

 |
| |
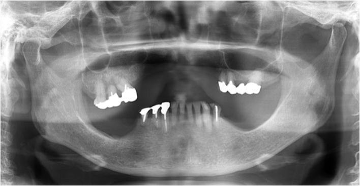
上の2枚のレントゲンは上下奥歯の咬合関係が無く左右前後の咬合崩壊が起きています。
|
| |
 |
| |
この患者様は、〇 の歯以外は全て抜歯せざるを得ない状態でした。
歯がない箇所の放置は、咬合崩壊を必ず起こします。
|
| |
|
| |
義歯が使えないとの主訴で来院されました。左右、前後、歯の高さは完全に崩壊。
この噛み合わせで義歯を作ったところで、噛み合わせはズレ、義歯を入れるスペースも不足(↕)しています。
義歯を新製はしたが「噛み辛い」「ガタつく」「痛い」は、咬合関係の崩壊を修正せず、基準を無視し新製してしまった症状と大いに考えられます。
しかし『咬合崩壊』の治療は困難であり、治療期間は長期に渡ります。
『咬合崩壊』は、ご自身に大いに責任があり、知らなかったでは済まされないのです。 |